Burr Ridge Crowns and Bridges
Porcelain Crowns
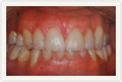
Applied Procedures: Porcelain Crowns
P5725_ss2632bs_t P5725_ss2632ys_t
Before Photo After Photo
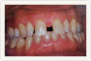
Applied Procedures: Porcelain Crowns
P5725_ss2633bs_t P5725_ss2633ys_t
Before Photo After Photo
Applied Procedures: Porcelain Crowns, Dental Bridges
P5725_ss2634bs_t P5725_ss2634ys_t
Before Photo After Photo